Zum Inhalt Zum EPaper Zum Menü
Wetter
Abo E-Paper Club Shop Gutscheine Trauerportal Werbung
Suche
Steiermark Kärnten Leben Sport
Kleine Zeitung Logo Kleine Zeitung mit weißer Schrift auf rotem Hintergrund.

Patient und Arzt berichten

„Mega-Tumor“ war 30 Zentimeter groß: „Es sah aus wie bei einer Schwangerschaft“

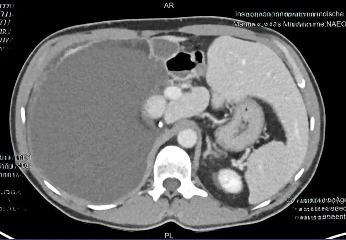
Anfang Dezember wurde einem Südburgenländer in der Klinik Oberwart ein seltener „Keimzellentumor“ entfernt. Dieser hatte Zähne und Haare. Herr M. berichtet wie aus einem „normalen Arztbesuch“ eine erstaunliche Diagnose wurde.
Der Artikel für Sie zusammengefasst
Diese Zusammenfassung wurde künstlich erzeugt. Wir entwickeln dieses Angebot stetig weiter und freuen uns über Ihr Feedback.
  • Ein 50-jähriger Mann aus Südburgenland hatte einen seltenen 30 cm großen Keimzellentumor im Bauchraum, der Zähne und Haare enthielt.
  • Der Tumor wurde entdeckt, nachdem der Mann wegen Atembeschwerden und Bauchschmerzen seinen Hausarzt aufsuchte und zum Ultraschall geschickt wurde.
  • Der Tumor war gutartig, musste aber operativ entfernt werden, da er andere Organe verdrängte und die Gefahr bestand, dass er platzt.
  • Die Operation war kompliziert, da der Tumor zwischen Leber, Niere, großer Körperarterie und Dickdarm lag.
  • Fünf Tage nach der erfolgreichen Operation konnte der Patient die Klinik verlassen, muss jedoch jährlich zur Kontrolle zurückkehren.
Peter Kornprat, Leiter der Chirurgie in der Klinik Oberwart, im Gespräch mit Herrn M., dem Anfang Dezember ein gutartiger „Keimzellentumor“ entfernt wurde
© Carmen Oster
Peter Kornprat, Leiter der Chirurgie in der Klinik Oberwart, im Gespräch mit Herrn M., dem Anfang Dezember ein gutartiger „Keimzellentumor“ entfernt wurde
© Carmen Oster
Author Carmen Oster
Carmen Oster Regionalbüro Oststeiermark und Garten
Regionalbüro Oststeiermark und Garten
26. Jänner 2025,
6:00 Uhr

Werbung überspringen

Sie wollen weiterlesen?

Dieser Inhalt ist exklusiv für Digitalabonnent:innen der Kleinen Zeitung.

Leider lassen Ihre derzeitigen Cookie-Einstellungen den Login und damit eine Überprüfung Ihres Abo-Status nicht zu. Eine Darstellung des Inhalts ist dadurch nicht möglich.

Wir verwenden für die Benutzerverwaltung Services unseres Dienstleisters Piano Software Inc. ("Piano"). Dabei kommen Technologien wie Cookies zum Einsatz, die für die Einrichtung, Nutzung und Verwaltung Ihres Benutzerkontos unbedingt notwendig sind. Mit Klick auf "Angemeldet bleiben" aktivieren Sie zu diesem Zweck die Verwendung von Piano und es werden über Ihren Browser Informationen (darunter auch personenbezogene Daten) verarbeitet.

Die Datenschutzinformation von Kleine Zeitung können Sie hier einsehen.

Mehr zum Thema

Aus Spital entlassen

Elf-Kilo-Tumor entfernt: Das sagt der Patient

Siegmund Funkl mit Primar Hans-Jörg Mischinger und Chirurg Peter Kornprat
Aus Spital entlassen

17,5 Kilo schwere Leber

Zuerst kam die neue Leber, dann das Wunschkind

von Sonja Krause

Verena Geier mit Tochter Sophie und vor der Lebertransplantation
17,5 Kilo schwere Leber

Österreich-Premiere

Erstmals „Super-Roboter“ in Klinik Oberwart installiert

von Ewald Wurzinger

Primarius Gottfried Pfleger, Univ.-Prof.  Stephan Kriwanek, medizinischer Geschäftsführer der Gesundheit und Burgenland Franz Öller, kaufmännischer Geschäftsführer der Gesundheit Burgenland.
Österreich-Premiere

Abriss 2025

Wofür das alte Krankenhaus in Oberwart Platz macht

von Daniela Buchegger

Die ersten Vorbereitungen für den bevorstehenden Abbruch des Betonbaus aus den 70er und 80er Jahren laufen
Abriss 2025

Nach Starkregen

Wasserschaden legt Operationssäle in Klinik Oberwart lahm

Die Klinik Oberwart beruhigt: vier von sieben OP-Sälen sind durchgehen einsatzbereit
Nach Starkregen

Altes Krankenhaus wird abgerissen

Besucher- und Personalmagnet: So sieht die neue Klinik Oberwart aus

von Daniela Buchegger

Vier Jahre nach dem Spatenstich im Mai 2020 wird die neue Klinik Oberwart Anfang Mai eröffnet
Altes Krankenhaus wird abgerissen
Werbung überspringen
Anzeige
Werbung überspringen
Anzeige
 
Werbung überspringen
Anzeige
Werbung überspringen
Werbung überspringen
Steiermark
  • Ennstal
  • Graz & Umgebung
  • Leoben
  • Murtal & Murau
  • Mürztal
  • Oststeier
  • Süd & Südwest
  • Südost & Süd
  • Weiz
  • Weststeier
Kärnten
  • Klagenfurt
  • Feldkirchen
  • Lavanttal
  • Oberkärnten
  • Osttirol
  • St. Veit
  • Villach
  • Völkermarkt
Leben
  • Gesundheit
  • Mobilität
  • Ombudsfrau
  • Reise
  • Wohnen
  • Kulinarik
  • Karriere
  • Familie
Sport
  • Steirersport
  • Kärntnersport
  • Fußball
  • Tennis
  • Motorsport
  • Wintersport
  • Eishockey
Service
  • Hilfe
  • Autoren
  • Archiv
  • Spiele
  • Sudoku
  • Wetter
  • Club
Steirische Themen
  • Wetter in der Steiermark
  • Wetter in Graz
  • Volkskultur
  • Steirer helfen Steirern
  • Damals in der Steiermark
  • Steirer des Tages
  • Bildung und Forschung
  • Graz-Wahl 2026
  • Gericht
Meistgelesen und beliebt:
  • Mail geleakt: Kreml war mit Kneissls Umzug nach Russland befasst
  • Vermisste 13-Jährige nach 32 Jahren wieder aufgetaucht
  • Bekannte Hütte wird erneut zur Pacht ausgeschrieben
  • Ende der ORF-Wetterdurchsagen vom höchstgelegenen Hof des Landes
  • Hoteliersfamilie verkauft Betrieb am Wörthersee für Millionenbetrag
  • Impressum
  • AGB
  • Datenschutz
  • Barrierefreiheitserklärung
© 2026, kleinezeitung.at | Kleine Zeitung GmbH | Alle Rechte vorbehalten.
Nutzung ausschließlich für den privaten Eigenbedarf. Eine Weiterverwendung und Reproduktion über den persönlichen Gebrauch hinaus ist nicht gestattet.
Werbung überspringen
Vielen Dank für Ihren Einkauf!
Klicken Sie auf den untenstehenden Button, um sich mit Ihrem Google-Konto anzumelden und loszulesen.