Zum Inhalt Zum EPaper Zum Menü
Wetter
Abo E-Paper Club Shop Gutscheine Trauerportal Werbung
Suche
Steiermark Kärnten Leben Sport
Kleine Zeitung Logo Kleine Zeitung mit weißer Schrift auf rotem Hintergrund.

Polizei sucht Zeugen

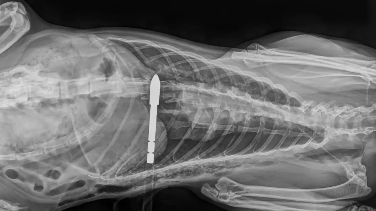
Tierquäler schoss in Zmuln bei Liebenfels mit Pfeil auf Katze

Eine freilaufende Katze wurde von einem Unbekannten mit einem Pfeil schwer verletzt. Das Tier wurde mit schweren Lungenverletzungen in eine Tierklinik gebracht. Dort kämpft sie um ihr Leben.
Das Röntgenbild zeigt die Verletzung
© KK/privat
Das Röntgenbild zeigt die Verletzung
© KK/privat
14. Juli 2022,
20:29 Uhr

Werbung überspringen

Sie wollen weiterlesen?

Dieser Inhalt ist exklusiv für Digitalabonnent:innen der Kleinen Zeitung.

Leider lassen Ihre derzeitigen Cookie-Einstellungen den Login und damit eine Überprüfung Ihres Abo-Status nicht zu. Eine Darstellung des Inhalts ist dadurch nicht möglich.

Wir verwenden für die Benutzerverwaltung Services unseres Dienstleisters Piano Software Inc. ("Piano"). Dabei kommen Technologien wie Cookies zum Einsatz, die für die Einrichtung, Nutzung und Verwaltung Ihres Benutzerkontos unbedingt notwendig sind. Mit Klick auf "Angemeldet bleiben" aktivieren Sie zu diesem Zweck die Verwendung von Piano und es werden über Ihren Browser Informationen (darunter auch personenbezogene Daten) verarbeitet.

Die Datenschutzinformation von Kleine Zeitung können Sie hier einsehen.

Mehr zum Thema

Kinder mussten es mitansehen

Frau von Eindringling in ihrem Haus fast getötet

Der Angeklagte wurde eingewiesen (Sujetbild)
Kinder mussten es mitansehen

Bande aufgeflogen

Frauen fälschten in großem Stil Impfpässe und Coronatests

Bande aufgeflogen

Ein Schwerverletzter

Cobra-Einsatz in Campingplatz-WC: Schussopfer war unbewaffnet

von Jochen Habich

In dieser WC-Anlage kam es zur Schussangabe
Ein Schwerverletzter

Drogen, Liebeskummer und Drohung

Jungfamilie mit Waffe verängstigt: "Sicher fühle ich mich nicht mehr"

von Katrin Schwarz

Symbolbild
Drogen, Liebeskummer und Drohung
Werbung überspringen
Anzeige
Werbung überspringen
Anzeige
 
Werbung überspringen
Anzeige
Werbung überspringen
Werbung überspringen
Steiermark
  • Ennstal
  • Graz & Umgebung
  • Leoben
  • Murtal & Murau
  • Mürztal
  • Oststeier
  • Süd & Südwest
  • Südost & Süd
  • Weiz
  • Weststeier
Kärnten
  • Klagenfurt
  • Feldkirchen
  • Lavanttal
  • Oberkärnten
  • Osttirol
  • St. Veit
  • Villach
  • Völkermarkt
Leben
  • Gesundheit
  • Mobilität
  • Ombudsfrau
  • Reise
  • Wohnen
  • Kulinarik
  • Karriere
  • Familie
Sport
  • Steirersport
  • Kärntnersport
  • Fußball
  • Tennis
  • Motorsport
  • Wintersport
  • Eishockey
Service
  • Hilfe
  • Autoren
  • Archiv
  • Spiele
  • Sudoku
  • Wetter
  • Club
Kärntner Themen
  • Wetter in Kärnten
  • Wetter in Klagenfurt
  • Alpe Adria
  • Leute
  • Leichterlesen
  • Koralmbahn
  • Kärntner des Tages
  • Landespolitik
  • Kärntner in Not
Meistgelesen und beliebt:
  • Nach Streit um Nutzung mit 1,35 Millionen Euro Schulden in die Pleite geschlittert
  • „Die Wohnung hat gewackelt, die Bombe ist rund 300 Meter entfernt eingeschlagen“
  • Nach Ausfahrt aus Bauhof: Pkw stößt mit Traktor zusammen
  • Große Sorge! Skiflieger nach schlimmen Sturz regungslos im Auslauf
  • Nach Urlaub in Kroatien: Infektionen kosten Steirer beide Beine
  • Impressum
  • AGB
  • Datenschutz
  • Barrierefreiheitserklärung
© 2026, kleinezeitung.at | Kleine Zeitung GmbH | Alle Rechte vorbehalten.
Nutzung ausschließlich für den privaten Eigenbedarf. Eine Weiterverwendung und Reproduktion über den persönlichen Gebrauch hinaus ist nicht gestattet.
Werbung überspringen
Vielen Dank für Ihren Einkauf!
Klicken Sie auf den untenstehenden Button, um sich mit Ihrem Google-Konto anzumelden und loszulesen.