Zum Inhalt Zum EPaper Zum Menü
Wetter
Abo E-Paper Club Shop Gutscheine Trauerportal Werbung
Suche
Steiermark Kärnten Leben Sport
Kleine Zeitung Logo Kleine Zeitung mit weißer Schrift auf rotem Hintergrund.

APA

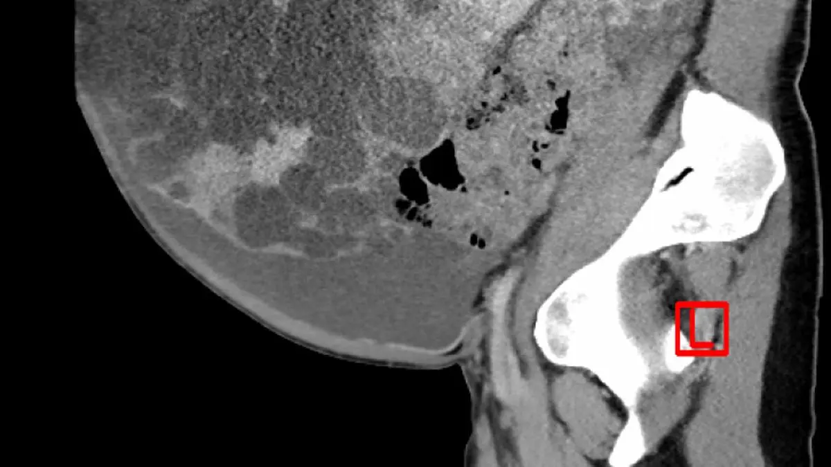
Ärzte entfernten Patientin 17,5 kg schwere Zystenleber

Eine fast 17,5 Kilogramm schwere Fehlbildung der Leber haben Mediziner am LKH-Uniklinikum Graz einer Patientin entfernt. Die von Zysten durchsetzte Leber hatte große Teile des Bauchraums ausgefüllt und auch extrem viel Wasser angesammelt. Das Organ musste vollständig transplantiert werden. Die 34-Jährige Patientin zeigte sich sechs Monate nach dem Eingriff beim Pressegespräch in Graz erleichtert.
© APA (UNIV.KLINIKUM GRAZ)
© APA (UNIV.KLINIKUM GRAZ)
28. Februar 2019,
13:20 Uhr

Sie wollen weiterlesen?

Dieser Inhalt ist exklusiv für Digitalabonnent:innen der Kleinen Zeitung.

Leider lassen Ihre derzeitigen Cookie-Einstellungen den Login und damit eine Überprüfung Ihres Abo-Status nicht zu. Eine Darstellung des Inhalts ist dadurch nicht möglich.

Wir verwenden für die Benutzerverwaltung Services unseres Dienstleisters Piano Software Inc. ("Piano"). Dabei kommen Technologien wie Cookies zum Einsatz, die für die Einrichtung, Nutzung und Verwaltung Ihres Benutzerkontos unbedingt notwendig sind. Mit Klick auf "Angemeldet bleiben" aktivieren Sie zu diesem Zweck die Verwendung von Piano und es werden über Ihren Browser Informationen (darunter auch personenbezogene Daten) verarbeitet.

Die Datenschutzinformation von Kleine Zeitung können Sie hier einsehen.

Werbung überspringen
Werbung überspringen
Anzeige
Werbung überspringen
Anzeige
 
Werbung überspringen
Anzeige
Werbung überspringen
Werbung überspringen
Steiermark
  • Ennstal
  • Graz & Umgebung
  • Leoben
  • Murtal & Murau
  • Mürztal
  • Oststeier
  • Süd & Südwest
  • Südost & Süd
  • Weiz
  • Weststeier
Kärnten
  • Klagenfurt
  • Feldkirchen
  • Lavanttal
  • Oberkärnten
  • Osttirol
  • St. Veit
  • Villach
  • Völkermarkt
Leben
  • Gesundheit
  • Mobilität
  • Ombudsfrau
  • Reise
  • Wohnen
  • Kulinarik
  • Karriere
  • Familie
Sport
  • Steirersport
  • Kärntnersport
  • Fußball
  • Tennis
  • Motorsport
  • Wintersport
  • Eishockey
Service
  • Hilfe
  • Autoren
  • Archiv
  • Spiele
  • Sudoku
  • Wetter
  • Club
Aktuelle Themen
  • Kleine Kinderzeitung
  • Gewinnspiele
  • Sudoku und Rätsel
  • Podcasts
  • Videos
  • Alpe Adria
  • Nahost
Meistgelesen und beliebt:
  • Für Trump geraten im Iran-Krieg die Dinge außer Kontrolle
  • Tanken in Slowenien: „In Österreich ist der Sprit nicht mehr zu bezahlen“
  • Slowenien lässt Spritpreise fast unverändert, Kroatien deckelt ab sofort
  • Putin bietet Trump Vermittlung in Nahost an + Elite-Armee: Blockade der Straße von Hormuz bis Kriegsende
  • Impressum
  • AGB
  • Datenschutz
  • Barrierefreiheitserklärung
© 2026, kleinezeitung.at | Kleine Zeitung GmbH | Alle Rechte vorbehalten.
Nutzung ausschließlich für den privaten Eigenbedarf. Eine Weiterverwendung und Reproduktion über den persönlichen Gebrauch hinaus ist nicht gestattet.
Werbung überspringen
Vielen Dank für Ihren Einkauf!
Klicken Sie auf den untenstehenden Button, um sich mit Ihrem Google-Konto anzumelden und loszulesen.